STORETÅEN
Skæv/Indadbøjet Storetå
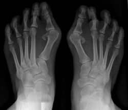
Hos nogle bøjer storetåen ind mod 2. tåen. Dette medfører ofte en knyst på siden af foden. Det er en tilstand, som tit giver problemer i form af hård hud og ligtorne på knysten, samt en nedgroet negl på storetåen.
Læs meget mere om skæv storetå med knyster (hallux valgus)
Årsag: Forskellige fejlstillinger i fødderne samt forkert fodtøj: Hos nogle mennesker opstår tilstanden lettere end hos andre.Indadbøjet storetå er en tilstand, som ofte hænger sammen med nedsunken forfod.
Behandling: Fodterapeuten kan behandle den hårde hud, ligtornene og neglen samt fremstille aflastninger, så tåen kommer ud på plads - hvis den er mobil. Ved en mobil indadbøjet storetå ses ofte gode resultater med hyppige og vedvarende fodøvelser. Det er ofte en god idé, at kombinere disse behandlinger med indlæg, der kan aflaste årsagerne til fejlstillingen.
Hvis knysten giver meget store gener, kan den opereres.
Behandlingerne er dog kun effektive, hvis der samtidig ses kritisk på det benyttede fodtøj. Fodterapeuten kan vejlede i fodøvelser, der får tåens muskler til at arbejde effektivt igen.
![]() | ![]() |
|---|---|
![]() | ![]() |





